1. 抗体
  2. 一抗
  3. 单克隆抗体 重组抗体 流式抗体 内参抗体
  4. alpha smooth muscle Actin 抗体 (YA627)

alpha smooth muscle Actin 抗体 (YA627)

目录号: HY-P80484
COA 抗体使用指南 技术支持

alpha smooth muscle Actin Antibody 是一个非偶联、兔源、抗 alpha smooth muscle Actin IgG 单克隆抗体。它是一种内参抗体。

MCE 的所有产品仅用作科学研究或药证申报,我们不为任何个人用途提供产品和服务

1.  客户无需承担相应的运输费用。

2.  同一机构(单位)同一产品试用装仅限申领一次,同一机构(单位)一年内

     可免费申领三个不同产品的试用装。

3.  试用装只面向终端客户

规格 价格 是否有货 数量
10 μL ¥470 In-stock
50 μL ¥1220 In-stock
100 μL ¥2000 In-stock
250 μL   询价  

* Please select Quantity before adding items.

MCE 顾客使用本产品发表的科研文献

  • WB: 蛋白质免疫印迹;
  • IHC-P: 石蜡切片样本的免疫组织化学;
  • IHC-F: 冰冻切片样本的免疫组织化学;
  • ICC/IF: 细胞免疫荧光;
  • IF-Tissue: 组织免疫荧光;
  • mIHC: 多重荧光免疫组化;
  • IP: 免疫沉淀;
  • ChIP: 染色质免疫沉淀;
  • FC: 流式细胞术;
  • ELISA: 酶联免疫吸附试验
  • 产品详情

  • 验证图片

  • 背景信息

  • 产品资料

描述

alpha smooth muscle Actin Antibody is a non-conjugated and Rabbit origined IgG monoclonal antibody, targeting to alpha smooth muscle Actin. It can be used as a loading control antibody.

宿主

Rabbit

克隆性

Recombinant, Monoclonal

分子量
Predicted band size: 42 kDa;
Observed band size: 42 kDa
请注意:因蛋白存在修饰或聚体等情况,以实测为准,预测仅为参考。
反应种属
Human, Mouse
蛋白数据库
基因 ID
免疫原

Synthetic peptide corresponding to Human alpha smooth muscle Actin.The exact sequence is proprietary to MCE.

应用 & 推荐
稀释比例
应用 稀释比
WB
WB: 蛋白质免疫印迹
1:1000-1:5000
IHC-P
IHC-P: 石蜡切片样本的免疫组织化学
1:50-1:200
FC
FC: 流式细胞术
1:50-1:100
IP
IP: 免疫沉淀
Use at an assay dependent concentration.
敏感性 Endogenous 纯度 Protein A affinity purified.
偶联 Non-conjugated 修饰 Unmodified
同型 IgG  
性状

液体

组分

Supplied in 1*TBS (pH7.4), 0.05% BSA and 40% Glycerol. Preservative: 0.05% Sodium Azide.

保存条件 & 期限

Stored at -20°C for 1 year. Avoid repeated freeze / thaw cycles.

运输条件

Shipping with blue ice.

验证图片
ALL WB IHC-P FC
  • Western blot analysis of extracts from Hela (lane 2(20μg) , NIH3T3 (lane 3(20μg), A549 (lane 4(20μg) using alpha smooth muscle Actin(HY-P80484) Rabbit mAb. Proteins were transferred to a PVDF membrane and blocked with 5% non-fat milk in TBST for 2 hour at room temperature. The primary antibody (1/1000) and Loading control antibody (Beta Actin, HY-P80438, 1/10000) was used in 5% non-fat milk in TBST at 4°C overnight. Goat Anti-Mouse IgG-HRP Secondary Antibody (1/10000) was used for 1 hour at room temperature.

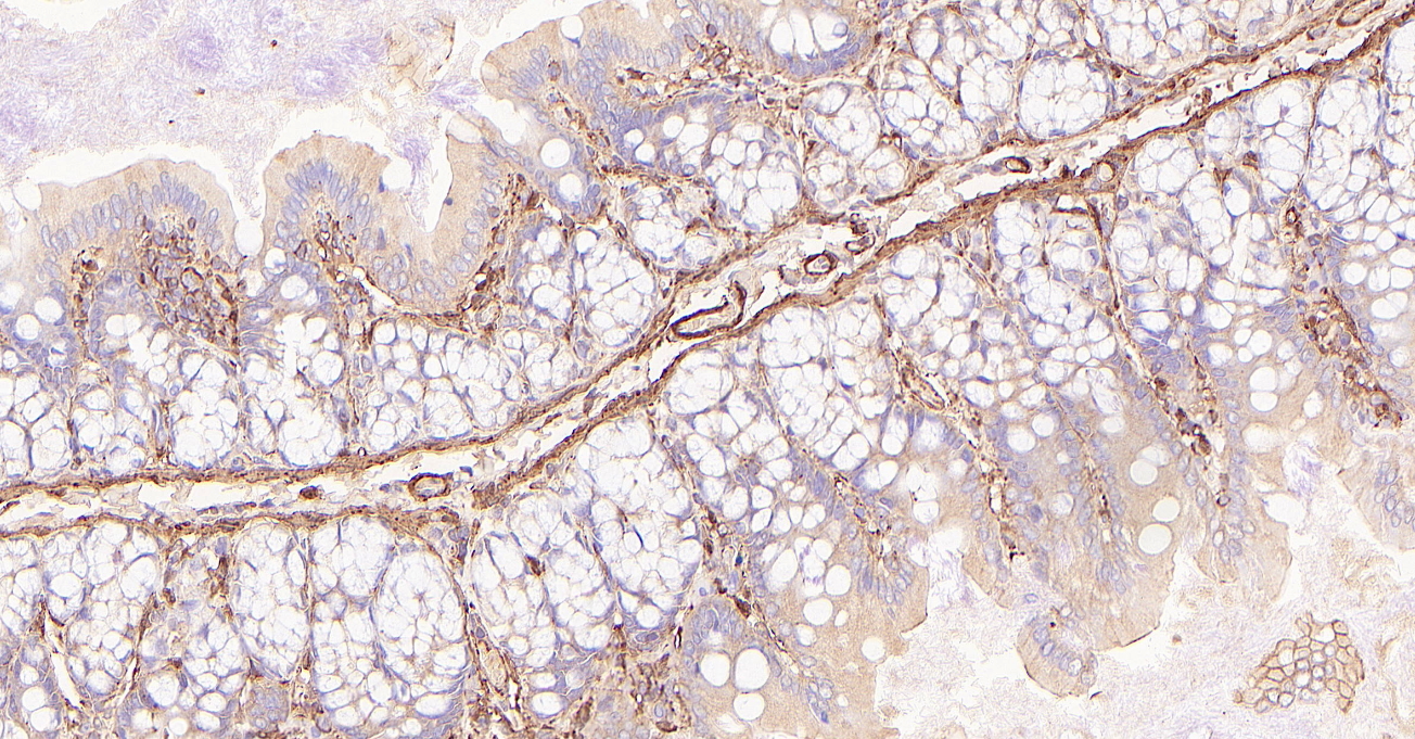
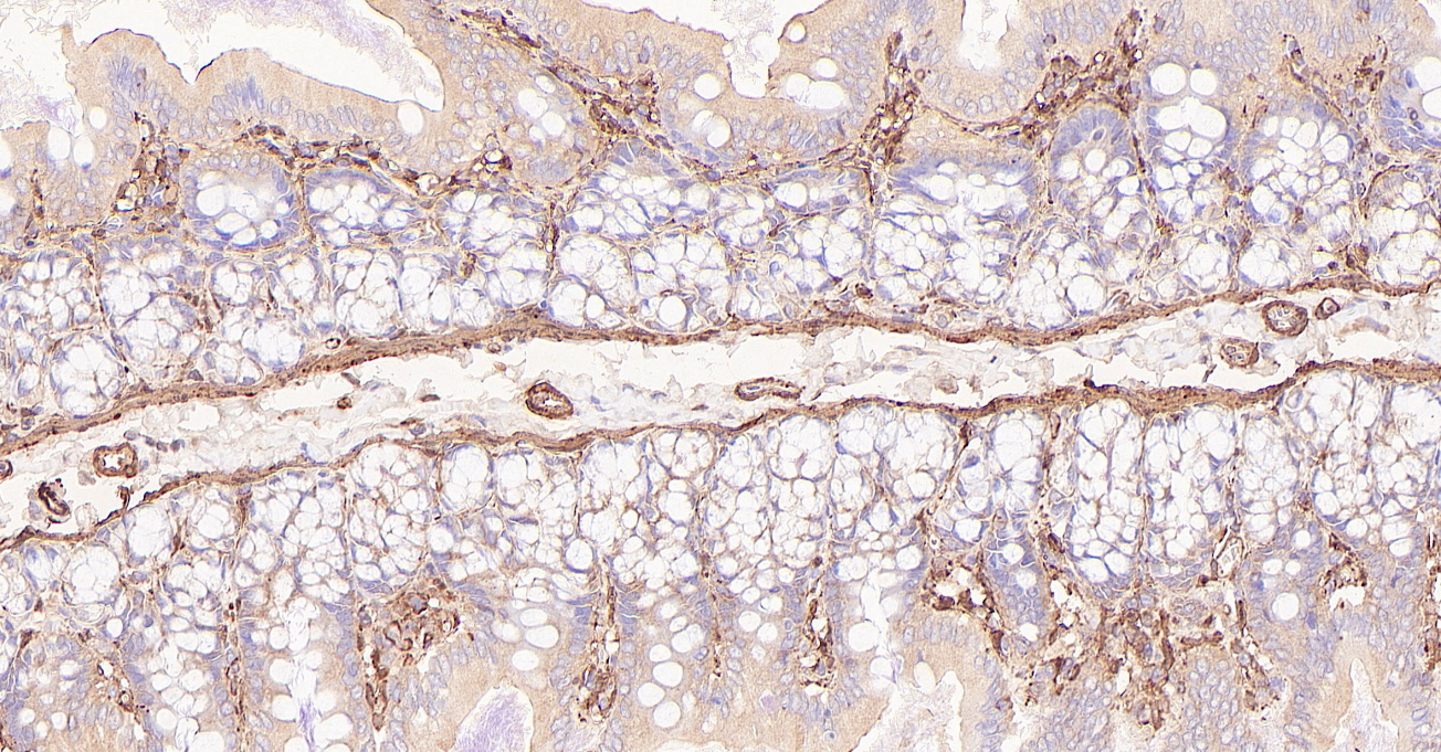
  • Immunohistochemical analysis of paraffin-embedded Rat colon tissue using alpha smooth muscle Actin Antibody. The section was pre-treated using heat mediated antigen retrieval with Tris-EDTA buffer (pH 8.0) for 8 minutes. The tissues were blocked in QuickBlock for 20 minutes at room temperature, washed with ddH2O and PBS, and then probed with the primary antibody (HY-P80484, 1/200) in 4℃ overnight. The detection was performed using an HRP conjugated compact polymer system. DAB was used as the chromogen. Tissues were counterstained with hematoxylin and mounted with DPX.

  • Immunohistochemical analysis of paraffin-embedded Rat colon tissue using alpha smooth muscle Actin Antibody. The section was pre-treated using heat mediated antigen retrieval with Tris-EDTA buffer (pH 8.0) for 8 minutes. The tissues were blocked in QuickBlock for 20 minutes at room temperature, washed with ddH2O and PBS, and then probed with the primary antibody (HY-P80484, 1/200) in 4℃ overnight. The detection was performed using an HRP conjugated compact polymer system. DAB was used as the chromogen. Tissues were counterstained with hematoxylin and mounted with DPX.

  • Flow cytometric analysis of 1X10^6 Hela cells labeling alpha smooth muscle Actin Antibody (HY-P80484, red). Cells were fixed with 4% paraformaldehyde and permeabilised with 90% methanol. Then stained with the primary antibody at 1/50 dilution for an hour at 4℃. Alexa Fluor® 488-conjugated AffiniPure Goat Anti-Rabbit IgG H&L (HY-P8002) was used as the secondary antibody at 1/1,000 dilution for 30 minutes at 4℃. Rabbit IgG Isotype Control (HY-P80879, blue) was used as the isotype control, cells without incubation with primary antibody were used as the unlabeled control (black).

RRID
反应种属数据库
研究领域

Signal Transduction

中文名
肌动蛋白α/α-SMA/α Actin抗体
同用名
alpha sarcomeric Actin; alpha smooth muscle Actin; Actin alpha; ASMA; ASM-A; alpha-SMA; alpha SMA; AAT6; ACTA2; Actin alpha 2 smooth muscle aorta; Actin aortic smooth muscle; ACTSA; ACTVS; Alpha 2 actin; Alpha-actin 2; Cell growth inhibiting gene 46 protein; Growth inhibiting gene 46; ACTA_HUMAN; Actin alpha 2 smooth muscle aorta; Actin aortic smooth muscle; Actin, aortic smooth muscle; Alpha 2 actin; Alpha actin 2; Alpha cardiac actin; Alpha-actin 2; Alpha-actin-2; Cell growth inhibiting gene 46 protein; Cell growth-inhibiting gene 46 protein; Growth inhibiting gene 46; MYMY5 α-Smooth Muscle Actin; α Smooth Muscle Actin;
文件资料
Help & FAQs
  • Do most proteins show cross-species activity?

    Species cross-reactivity must be investigated individually for each product. Many human cytokines will produce a nice response in mouse cell lines, and many mouse proteins will show activity on human cells. Other proteins may have a lower specific activity when used in the opposite species.

您最近查看的产品:

Your information is safe with us. * Required Fields.

   产品名称:

 

* 需求量:

* 客户姓名:

 

* Email:

* 电话:

 

* 公司或机构名称:

   留言给我们:

Bulk Inquiry

Inquiry Information

产品名称:
alpha smooth muscle Actin Antibody (YA627)
目录号:
HY-P80484
需求量: